
康世維擁有專業的桃園植牙專家團隊,會根據每個人的口腔條件做完整的植牙前評估規劃,利用3D影像、口內掃描等輔助工具,幫助醫師更清楚掌握患者骨頭狀況、牙齦條件等細節,最終給出完整且最適合的植牙方案!
看牙不必恐懼,我們有提供舒眠植牙的選項,經由合格的醫療團隊專家進行評估與安排,讓你在放鬆的狀態下完成療程,降低心理壓力,也更容易配合後續治療。
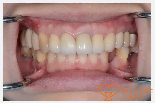
牙齒的外觀比例不好、顏色發黃嗎?不妨試試AI美學貼片!桃園康世維美學牙醫診所導入了數位微笑設計(DSD)搭配AI視覺分析系統,協助醫師在療程規劃階段,跟患者一起討論微笑線、齒型比例、臉部結構等搭配問題。
AI美學貼片本身屬於比較局部、非侵入性的處理,適合用來修飾齒色不均、齒型比例不對稱或小範圍斷裂等情況。我們的醫師專家會根據每個人的臉型、笑容特徵與牙齒條件,討論貼片適不適合及位置等細節,讓整體效果自然又協調,而不是一味追求「整齊白亮」。






| DR.CHEN陳亨龍醫師 WECARE總院長/口腔美學權威 |
![]() |
| 李昀融醫師/副院長 | ![]() |
| 曾硯農醫師 /家庭牙科專任醫師 | ![]() |
| 專業諮詢師 | ![]() |
| 個案管理師 | ![]() |
選擇一家好的植牙診所,真的可以省下不少時間和心力,我們希望提供給患者一個「可以安心討論的空間」,若你正在尋找桃園植牙專家,想瞭解更多舒眠植牙、牙周、全口重建、牙齒保養建議,速速預約康世維醫師進行討論吧~諮詢服務電話:03-356-8555。